무너지는 잇몸 치주염의 공포: 이가 멀쩡한데 빠진다고?
양치질만 해도 피가 나고, 아침에 일어나면 입 냄새가 심하다면? 당신의 잇몸이 조용히 무너지고 있다는 신호일 수 있습니다.
1년 전, 저는 치과 정기검진에서 충격적인 말을 들었어요. "치주염이 많이 진행됐네요. 치료 안 하시면 몇 년 안에 이 빠질 수도 있어요." 멀쩡해 보이는 치아가 빠진다니, 처음엔 믿기지 않았거든요.
그런데 의사 선생님이 보여주신 엑스레이 사진을 보고 정말 놀랐어요. 잇몸뼈가 많이 녹아있더라고요. 아무 증상도 못 느꼈는데 말이에요. 그때부터 본격적인 치주염 치료를 시작했고, 지금은 많이 좋아졌지만... 그 공포는 아직도 생생해요.
오늘은 제 경험을 바탕으로 치주염의 무서움과 예방법을 이야기해볼게요. 이 글을 읽는 분들은 저처럼 뒤늦게 후회하지 않으셨으면 좋겠어요.

치주염, 도대체 뭐길래 이렇게 무서운 걸까요?
치주염은 잇몸과 잇몸뼈에 생기는 염증이에요. 단순히 잇몸만 붓는 게 아니라 뼈까지 녹아내리는 무서운 질환이거든요.
가장 무서운 건 통증이 거의 없다는 거예요. 충치는 아프니까 바로 알 수 있잖아요. 그런데 치주염은 상당히 진행될 때까지 아무런 통증이 없어요. 그래서 '침묵의 질환'이라고 불려요.
치아가 멀쩡한데 빠지는 이유
이가 빠지는 건 충치 때문만이 아니에요. 오히려 성인의 이 빠지는 원인 1위가 치주염이에요.
뼈가 녹으면 치아를 지탱할 수 없어요. 마치 튼튼한 나무도 땅이 무너지면 쓰러지는 것처럼, 멀쩡한 치아도 잇몸뼈가 없으면 흔들리다가 결국 빠지게 돼요.
저도 어금니 하나가 많이 흔들려서 발치 고민했었어요. 다행히 치료로 잡았지만, 그때 정말 무서웠어요.
치주염의 단계별 증상
치주염은 단계별로 증상이 달라요. 빨리 발견할수록 치료가 쉽거든요.
1단계: 치은염 (잇몸 염증)
가장 초기 단계예요. 이때는 아직 뼈는 괜찮고 잇몸만 붓는 상태예요.
양치질할 때 피가 조금 나고, 잇몸이 붉게 변해요. 이 단계에서는 스케일링과 올바른 양치질만으로도 완전히 회복할 수 있어요.
저도 처음엔 이 단계였는데, "그냥 양치질 세게 해서 그런가보다" 하고 넘겼던 게 정말 후회돼요. 그때 치료했으면 훨씬 수월했을 텐데요.
2단계: 초기 치주염
뼈가 조금씩 녹기 시작해요. 하지만 여전히 증상을 잘 못 느끼는 단계예요.
잇몸이 가끔 붓고, 양치질할 때마다 피가 나요. 입 냄새도 심해지기 시작하고요. 치아와 잇몸 사이에 틈이 생기면서 음식물이 자주 끼어요.
이 단계까지는 스케일링과 치근활택술로 치료 가능해요. 조기 발견이 정말 중요해요.

3단계: 중등도 치주염
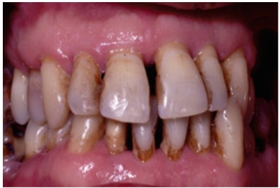
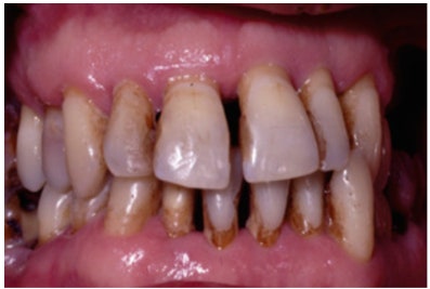
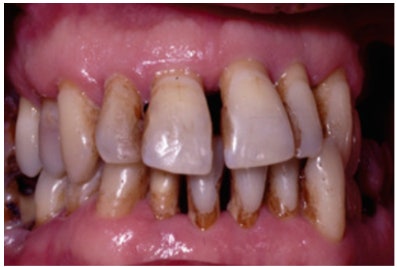
뼈가 많이 녹은 상태예요. 제가 발견했을 때가 이 단계였어요.
잇몸이 내려가서 치아가 길어 보이고, 치아가 조금씩 흔들려요. 찬물이나 뜨거운 음식에 이가 시리고, 입 냄새가 심해져요.
이 단계부터는 치료가 복잡해져요. 잇몸 수술이 필요할 수도 있어요. 저는 다행히 수술까지는 안 갔지만, 몇 달간 치료받느라 정말 힘들었어요.
4단계: 심한 치주염
뼈의 절반 이상이 녹아버린 상태예요. 치아가 심하게 흔들리고 이동해요.
음식을 씹기 힘들고, 치아 사이가 벌어지고, 잇몸에서 고름이 나오기도 해요. 이 단계가 되면 치아를 살리기 어려워요.
발치하고 임플란트를 해야 하는데, 뼈가 없어서 뼈 이식부터 해야 하는 경우도 많아요. 비용도 시간도 정말 많이 들어요.
치주염을 의심해야 하는 신호들
이런 증상들이 있다면 빨리 치과 가세요. 저처럼 늦게 발견하면 정말 후회해요.
양치질할 때마다 피가 난다
가장 대표적인 초기 증상이에요. "양치질을 세게 해서 그런가?" 하고 넘기는 분들 많은데, 건강한 잇몸은 피가 안 나요.
저도 1년 넘게 피 나는 걸 알면서도 방치했어요. 그게 가장 큰 실수였죠.

아침에 입 냄새가 심하다
구취가 심하다면 치주염을 의심해봐야 해요. 잇몸 염증 때문에 세균이 악취를 만들어내는 거거든요.
저는 가족들이 "입 냄새 나는 것 같아" 했을 때도 무시했어요. 지금 생각하면 정말 중요한 신호였는데 말이에요.
잇몸이 자주 붓고 아프다
특히 피곤하거나 스트레스 받을 때 잇몸이 붓는다면 조심하세요. 면역력이 떨어지면 잠재된 염증이 악화되는 거예요.
치아가 길어 보인다
잇몸이 내려가면서 치아 뿌리가 드러나요. 거울 보면서 "옛날엔 이렇게 안 길었는데?" 싶으면 치주염 진행 중일 수 있어요.
저도 사진 비교해보니까 확실히 차이가 나더라고요. 치아가 길어지고 잇몸선도 불규칙해졌어요.
음식물이 자주 낀다
치아 사이 틈이 생기면서 음식이 자주 끼어요. 계속 이쑤시개 찾게 되고, 양치 후에도 뭔가 낀 느낌이 들어요.

치주염 예방과 관리법
치주염은 예방이 최선이에요. 한번 녹은 뼈는 다시 자라지 않거든요.
올바른 양치질이 기본
하루 3번, 식후 3분 이내, 3분 이상 닦는 3·3·3 법칙 들어보셨죠? 정말 중요해요.
저는 전동칫솔로 바꿨어요. 손으로 닦을 때보다 훨씬 깨끗해지더라고요. 특히 잇몸과 치아 경계 부분을 꼼꼼히 닦는 게 중요해요.
칫솔모는 부드러운 걸로 쓰시고, 45도 각도로 잇몸을 마사지하듯 닦으세요. 너무 세게 닦으면 오히려 잇몸 상처나요.
치실과 치간칫솔 필수
양치질만으로는 치아 사이 60%는 못 닦아요. 치실이나 치간칫솔을 꼭 써야 해요.
처음엔 귀찮았는데, 습관 들이니까 괜찮아요. 저는 자기 전에 TV 보면서 치실 사용해요. 이것만 해도 치주염 예방에 큰 도움 돼요.
치실 쓰고 나서 입 헹구면 음식물 찌꺼기 엄청 나와요. "내가 이렇게 제대로 안 닦였구나" 하고 깨닫게 돼요.
정기적인 스케일링
1년에 최소 1~2번은 스케일링 받으세요. 아무리 양치질 잘해도 치석은 생기거든요.
치석은 칫솔로 안 닦여요. 방치하면 잇몸 염증의 원인이 되고요. 스케일링은 건강보험 적용돼서 1년에 한 번은 저렴하게 받을 수 있어요.
저는 이제 6개월마다 정기검진 받으면서 스케일링해요. 조기 발견이 중요하니까요.
생활습관 개선
담배는 치주염의 최악의 적이에요. 흡연자는 비흡연자보다 치주염 발생률이 5배 높아요.
스트레스 관리도 중요해요. 스트레스받으면 면역력 떨어지면서 잇몸 염증 악화돼요. 충분한 수면과 규칙적인 운동도 도움 돼요.
비타민 C가 풍부한 과일, 채소 많이 드세요. 잇몸 건강에 정말 좋아요.
치주염 치료, 늦기 전에 시작하세요
치주염은 조기 발견이 정말 중요해요. 저처럼 늦게 발견하면 치료 기간도 길고, 비용도 많이 들고, 무엇보다 잃어버린 뼈는 돌이킬 수 없어요.
치료 과정
초기에는 스케일링과 치근활택술로 치료해요. 잇몸 속 깊은 곳의 치석을 제거하는 거예요. 좀 불편하긴 한데 견딜 만해요.
진행됐으면 잇몸 수술이 필요할 수도 있어요. 잇몸을 절개해서 뼈 주변을 깨끗이 하고, 경우에 따라 뼈 이식도 해요.
저는 치근활택술 여러 번 받았는데, 한 번에 한 구역씩 치료해서 총 4번 정도 갔어요. 시간은 좀 걸렸지만 확실히 효과 있었어요.
치료 후 관리
치료받고 끝이 아니에요. 평생 관리해야 해요. 치주염은 재발이 잘되거든요.
저는 3개월마다 정기검진 받고, 양치질도 전보다 훨씬 꼼꼼히 해요. 치실도 매일 쓰고요. 관리만 잘하면 더 이상 악화되지 않아요.
마무리하며
치주염은 정말 무서운 질환이에요. 아무 증상 없이 조용히 진행되다가 어느 날 갑자기 치아를 잃게 만들거든요.
하지만 다행히 예방과 조기 발견으로 충분히 막을 수 있어요. 매일 올바른 양치질, 정기적인 검진, 이것만 잘해도 치주염 걱정 없어요.
저는 1년 전 그 충격적인 진단 이후로 치아 관리에 진심이 됐어요. 덕분에 지금은 잇몸 상태가 많이 좋아졌고, 더 이상 나빠지지 않고 있어요.
여러분도 양치질할 때 피 나거나, 잇몸이 붓거나, 입 냄새가 심하다면 절대 방치하지 마세요. 빨리 치과 가서 검진받으시고, 필요하면 치료 시작하세요.
건강한 치아는 평생 가는 재산이에요. 지금 조금만 신경 쓰면 나중에 큰 고생 안 해요. 오늘부터 치아 관리, 다시 시작해보시는 건 어떨까요? 🦷💙
한 줄 정리: 치주염은 통증 없이 잇몸뼈를 녹이며 결국 치아를 빠지게 만드는 무서운 질환이지만, 올바른 양치질과 정기 검진으로 충분히 예방할 수 있습니다.
#치주염 #잇몸질환 #치아관리 #구강건강 #스케일링 #양치질 #치과